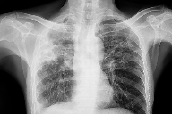
Европа изостава в борбата с туберкулозата: Всеки пети случай остава неоткрит

Европейският регион продължава да изостава от поставените цели за ограничаване на туберкулозата, показва нов съвместен доклад на Световната здравна ...
Прочети цялата публикация



Орбан поставя капани: Как Зеленски си изпусна нервите
Мениджърът на Лийдс: Обичам Илия Груев, той е фантастичен
Отказът на Макрон и НАТО подразниха Тръмп, който го дефинира като „една наистина глупава грешка“
Атанас Атанасов се завръща начело на Монтана за пети път
Защо няма обвинени по файловете "Епстийн"?
Какви ще са последствията от войната в Иран за Украйна
Ако иранският режим се самоубие, хаосът може да стане глобален
Убийството на 23-годишен националист предизвика високо напрежение между Франция и Италия
Проф. Радка Аргирова: Случаите на морбили са сигнал за внимание, а при HPV ваксините сме последни в Европа
По-богати ли сме от италианците? (снимки)
Тръмп за съюзниците в НАТО: Страхливци! Няма да го забравим!
Полицията залови мъж за купуване на гласове със 130 хил. евро и списък с клиенти
Хулио Веласкес: Фокусиран само върху утрешната среща - нищо друго, нито сега, нито лятото не гледаме
Какво показват пробите от откритите мъртви птици и два делфина край Шабла
Доналд Тръмп към съюзниците от НАТО: Страхливци!
Финансов крах за „ВКонтакте“: Шеста поредна година на загуби под държавно управление
Пазарът на труда у нас - расте интересът към работници от трети страни
Тръмп: НАТО е хартиен тигър без помощта на САЩ