За образните методи в диагностиката и проследяването на заболяванията

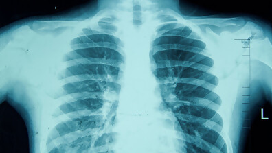
130 години от откриването на рентгеновите лъчи
Прочети цялата публикация

130 години от откриването на рентгеновите лъчи
Прочети цялата публикация
Проучване: 3 000 крачки дневно могат да забавят развитието на Алцхаймер
От критично значение за ядрената безопасност! Две украински АЕЦ са намалили производството на ток след руски удар
Мощна експлозия срина жилищна сграда в Германия (видео)
Как Ръсел Кроу промени живота си и свали 30 килограма
Мамдани отвъд клишетата, кой ще разоръжи "Хамас" и кога чатботът спасява хората
Божидар Краев изигра почти цял мач при нова загуба на Уестърн Сидни Уондърърс в Австралийската А-Лига
Най-малко двама души бяха убити и седем бяха ранени при израелски удари в Ливан
Путин направи рокади в Съвета за сигурност и министерството на отбраната на Русия
Мощна експлозия в жилищна сграда в Германия, двама ранени и един изчезнал