Регистрираха първи случай на Ку-треска за годината

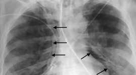
Регионалната здравна инспекция в Пловдив потвърди първи случай на ку‑треска за 2026 г. Засегнат е 67‑годишен мъж, който е приет в болница на 6 април с двойна бронхопневмония. След проведено лечение пациентът е изписан седмица по‑късно. Директорът на дирекция „Надзор на заразните болести" в РЗИ‑Пловдив д-р Милена Панайотова уточни, че подобни случаи не са нещо необичайно. По думите ѝ заболяването не е „екзотично" и не е внесено отвън, като през годините в областта са регистрирани и други инфекции. Какво представлява ку‑треската? Ку‑треската е бактериална инфекция, причинена от Coxiella burnetii. Заразяването най-често става чрез вдишване на прахови частици, съдържащи бактерията, контакт с мляко, урина, изпражнения или секрети на заразени животни (обикновено овце, кози, говеда). По-рядко заболяването се предава чрез кърлежи. Инкубационният период е между 9 и 40 дни. Хората са силно чувствителни към инфекцията и дори малък брой бактерии могат да доведат до заболяване.
Прочети цялата публикация



Първи случай на ку-треска в Пловдив
Първи случай на Ку-треска е установен в Пловдив
ХИВ вече не е присъда: трансплантация от роднина уби опасния вирус за първи път
Памперси и порно: Ел Фанинг се пуска в OnlyFans в сериала „Марго има проблеми с парите“
Виктор Уембаняма написа история: Най-младият и единодушен Защитник №1 в НБА
Защо палестинците трябва да защитават Нетаняху - лидера, с когото Израел се опитва да си измие ръцете
Гуардиола: Ако говоря много, един ден ще се разплача
Срещата на годината? Володимир Зеленски е готов да преговаря с Путин в Турция
Циципас е готов на всичко, за да се завърне в световния елит
Над 10 000 евро за къщи: България подготвя нова програма за соларни инсталации, батерии и обновяване
В Киев принц Хари отправи призив към Путин да сложи край на войната в Украйна
В Киев! Принц Хари призова Владимир Путин да прекрати войната в Украйна
Хулио Веласкес: Играчите не са напрегнати, те са щастливи и доволни
Евелина Славкова: Хората решиха, че този път няма да бъдат пасивни към изборния процес
Прокуратурата е завела 166 "изборни преписки", 68 са приключени с постановления за отказ
ПСЖ се прицели в халф на Уест Хем
Разследване: защо болниците плащат различни цени за едни и същи лекарства
Свят без хора: защо демографският спад ще бъде основната криза на века
Бургас е домакин на научна конференция
Путин: Русия ще защитава интересите си в Арктика