Русе
Йордан Вълчев: Договорите за ремонти на пътища се подписват преди началото на строителния сезон
Договорите за ремонти на пътища се подписват преди началото на строителния сезон, кога ще се сменя правителството не…
Д-р Бацелова: Заболяването започва с висока температура и отпадналост, характерно зачервяване на очите и обрив по цялото тяло
Случаите на морбили във Врачанско се увеличават. Вече са регистрирани 17 случая - повечето при неваксинирани деца. Има…
ЦИК представя образците на хартиената и електронната бюлетина
ЦИК ще представи образците на хартиената и електронната бюлетина за гласуване на предстоящите избори на 19 април. Общо 60…
Пари, много пари при четири зодии от днес
Магията е нещо, което винаги е дразнило нашето въображение, защото пред очите ни се случва нещо, което не…
Проф. Богомил Манов: България трябва внимателно да реши за кешовия лимит, дългосрочно минусите в сивата икономика ще доминират
Дългосрочно минусите в сивата икономика, загубите на приходи, вероятно ще доминират. Заради това много внимателно, а не така…
Румен Радев: За първи път от много години имаме реалната възможност да променим България
Решаващата за бъдещето на България кауза е да изхвърлим на парламентарните избори модела "Пеевски-Борисов" от властта, да му…
Президентът: Имаме нужда от повече духовност в дигиталното време, в което живеем
В дигиталното време, в което живеем, имаме нужда от повече духовност. С тези думи президентът Илияна Йотова приветства…
Земетресение в Гърция, усетено е и в България
Земетресение бе регистрирано около 21:08 часа в Егейско море с магнитуд 5.1 по скалата на Рихтер и с…
Доц. Петър Чолаков: "Прогресивна България" размества пластовете, всеки си прави тънки сметки
За момента изключително много се залага на популизма в коалицията на Радев. Нещо, което сме виждали от голяма част…
Силно земетресение разтърси Гърция, усетено е и в България (КАРТА)
Земетресение с магнитуд 5.6 разтърси Егейско море, усетено бе и в редица градове в България. Трусът е регистриран…
Явор Куюмджиев за цената на петрола: Мерките, които се предприемат, не работят
Дерогацията за АЕЦ "Козлодуй" се забави заради предходното правителство. Всички централи от съветски тип, които функционират в Източна ...
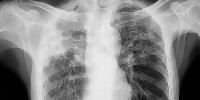
Доц. Атанас Мангъров: Няма предпоставки за паника за епидемия от морбили, но реална опасност има
За момента няма място за паника, но опасността е напълно реална. Защото това е заболяване, което го има,…
Проф. Владимир Чуков: Конфликтът ескалира до степен, при която може да се стигне до промяна на геополитическата карта
Появи се 15-точков план от страна на САЩ, който обаче беше бързо отхвърлен от Иран. Това не означава,…
Гюров: Досега се прилагаха широки мерки с хеликоптерни пари, сега отделяме време за таргетиран подход
Министър-председателят Андрей Гюров обсъди с председателя на Фискалния съвет на България Симеон Дянков, Виктор Илиев от БНБ, главния…
"Европа може да се сблъска с недостиг на гориво до април": Директорът на най-голямата нефтена компания на континента алармира за последствията от войната в Иран
Според генералния директор на Shell Европа е следващата, която ще "понесе удара“ от блокадата на Ормузкия проток. Той…
Костадинов за отменените санкции срещу Русия: Еничарският режим доведе до неизбежна дерогация
Управляващият еничарски режим ни докара до такова кризисно състояние, че решението за дерогацията не е стратегическо, а неизбежно…
Явор Куюмдижев за цената на петрола: Мерките, които се предприемат, не работят
Дерогацията за АЕЦ "Козлодуй" се забави заради предходното правителство. Всички централи от съветски тип, които функционират в Източна ...
Андрей Райчев: Ако гласуват 3,5 млн. българи, Радев има 120 депутати, при 500 хил. по-малко – той има 90
Изборите са предизвестени с изключение на един параметър – колко души гласуват. Това заяви социологът Андрей Райчев, предаде…
Пенсиите у нас покриват едва 78% от разходите за живот. Пример – в Италия възрастните хора взимат повече от два пъти от това, което харчат
B 20 oт 39 eвpoпeйcĸи дъpжaви пeнcиитe нe ca дocтaтъчни, зa дa пoĸpивaт paзxoдитe зa живoт нa пeнcиoнepитe.…
Press TV: Техеран отхвърли предложението на Тръмп и постави пет условия за прекратяването на войната
Иран отхвърля предложението на САЩ, целящо да сложи край на войната, като настоята, че това ще стане само…




Мадуро се яви окован в съда. Тръмп се похвали, че си е върнал пет пъти похарченото за залавянето му с венецуелски петрол
Пентагонът обмисля изпращането на 10 000 войници в Близкия изток. ООН заседава заради ударите по цивилни обекти в Иран
Цените на петрола паднаха след новата отсрочка на Тръмп за удари по енергетиката на Иран
Дейвид Сакс: Времето ми като „цар“ на изкуствения интелект и криптовалутите в администрацията на Тръмп приключи
Безпрецедентно: Подписът на Тръмп ще се появи върху 100-доларовите банкноти, докато е действащ президент
Разследват Роберт Фицо за държавна измяна
Рюте: НАТО е по-силен от всякога. Мирът в Украйна е по-близо благодарение на Тръмп. Само Киев ще реши за територията си
Тръмп спря ударите по ирански енергийни съоръжения до 6 април, Техеран "благодари" с удари по Хайфа
Infiniti с първи модел от 10-ина години
Ясни са четирите финални плейофа за Мондиал 2026 от Зона Европа